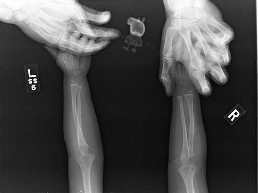
1. 我女儿坚持要佩佩猪陪她才要拍X光。

2. 这22年来,看脚指的X光是他的梦想。

3. 刚吃完晚餐的蛇。

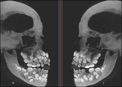
4. 多牙症患者的X光。

5. 这是X光界的乱入照。

6. 怀孕的乌龟。

7. 女生穿高跟鞋时的骨头。

8. 这是马的脚!

9. 怀孕的猫咪。

10. 我朋友的儿子吞了雪花?

11. 所以不要再把钻戒放在食物里!

12. 我要求要做MRI ,结果…

13. 拔拔,我不小心吞了发夹。

14. 疴…那是海绵宝宝吗?

15. 金鱼的X光。

16. 这是世界上第一张X光片,由威廉·伦琴于1895年12月22日拍摄的。

17. 连体双胞胎的X光片。

18. 这其实是一只狗。

19. 加州秃鹰蛋里面的样子!

20. 荷马·辛普森的X光照片~

以上内容均来源于互联网,由极品番号-最新番号大全-番号大全。(www.686bd.com)整理发布!
转载请注明:极品番号 » 二十张充满惊喜的X光照片 世界上第一张x光片是什么样的





